大部分肺转移癌病人有肺外肿瘤病史,但少数病例的肺部转移灶先于原发肿瘤被发现。
X线影像学检查是主要的诊断手段,其形态学表现有:
①单个结节影:多来自消化道、子宫或肾脏的恶性肿瘤及骨肉瘤和神经纤维肉瘤;
②多发性结节:可来自任何脏器的癌肿,如结节大小不一,可能已有多次转移;
③微小转移灶常是绒癌转移;
④癌性空洞多见于来自上皮的恶性肿瘤,例如头颈部癌肿或结肠癌:
⑤合并气胸的转移癌多来自骨癌、滑膜肉瘤和下肢纤维肉瘤;
⑥淋巴管型转移灶常显示肺内线型和结节网织状,一般来自乳腺癌、胃癌或胰腺癌;
⑦腔内型转移癌可引起阻塞性肺炎,多由乳腺癌、直肠癌及肾癌转移;


①肺转移瘤通常位于肺野周围部, 67%见于胸膜下, 25%发生在肺野外1/3。
②多数肺转移瘤呈结节状,可自粟粒大小至直径5cm。
③多发是肺转移瘤特征,在多发肺结节中,转移瘤占70%~80%。
④转移瘤密度均一,呈软组织密度,有5%转移瘤发生坏死而密度不均匀,甚至形成空洞。偶见转移瘤钙化,多为骨肉瘤、软骨肉瘤或粘液性结肠癌转移。

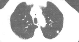
左下肺转移癌。CT平扫肺窗示左下肺边缘肺野一小结节状阴影。
①对肺周围部及胸膜下小转移结节的显示MRI检查不及CT,但对肺门附近之结节,由于流空效应,MRI检查易于显示。

左上纵隔淋巴结转移癌。原发灶为鼻咽癌。MRI冠状面T1加权像示左上纵隔主动脉旁软组织肿块,信号均匀高于肌肉组织。